Cas Cliniques

IMPLANTS DENTAIRES MULTIPLES AVEC COURONNES DENTAIRES ET BRIDGE DENTAIRE

Reconstruction inférieure. Bridge 8 couronnes céramo-métal sur 5 implants dentaires et bridge 4 couronnes céramo-métal sur 4 implants dentaires. Chirurgien spécialiste en implant dentaire: Dr. Thierry Hascoet. Prosthodonte: Dra. Yanira Peña. Laboratoire: Rubén Escola.

BRIDGE 12 COURONNES EN ZIRCONE SUR 8 IMPLANTS

BRIDGE 12 COURONNES EN ZIRCONE SUR 8 IMPLANTS Cas clinique Ces fotos nous montrent comment Le Dr Hascoet a posé un bridge de 12 couronnes sur 8 implants. Prothèse dentaire sur maxillaire superieur. Chirurgien: Dr. Thierry Hascoet. Prosthodonte : Dra. Yanira Peña”

POSE D’UNE BARRE FRAISÉE SUR PROTHÈSE DENTAIRE 12 DENTS

Barre fraisée et suprastructure 12 dents supérieures et inferieures. Chirurgien: Dr. Thierry Hascoet. Prosthodonte: Dra. Yanira Peña. Laboratoire Mondental Barcelone

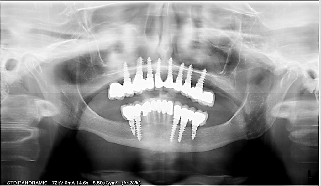
RECONSTRUCTION DENTAIRE INFERIEURE ET SUPÉRIEURE PAR IMPLANTS DENTAIRES

Reconstruction supérieure et inférieure. 12 couronnes céramo-métal sur 8 implants dentaires à chaque mâchoire. Chirurgien spécialiste en implant dentaire: Dr. Thierry Hascoet. Prosthodonte: Dra. Yanira Peña. Laboratoire: Rubén Escola.

RECONSTRUCTION DENTAIRE INFERIEURE ET SUPÉRIEURE PAR IMPLANTS DENTAIRES

Couronnes ceramo metallique maxillaire superieur droite et gauche Chirurgien: Dr. Thierry Hascoet. Prosthodonte: Dra. Yanira Peña. Laboratoire Rodos Madrid

RÉHABILITATION TOTALE DE LA MÂCHOIRE SUPÉRIEURE – CERAMO METALLIQUE

Réhabilitation supérieure céramo-métallique Chirurgien: Dr. Thierry Hascoet. Prosthodonte: Dra. Yanira Peña. Laboratoire Gabrielle Skupch

PROTHESE HYBRIDE FIXE TRANSVISÉE

Prothese hybride fixe transvisée superieur et inferieur sur 6 implants chacune. Chirurgien: Dr. Thierry Hascoet. Prosthodonte: Dra. Yanira Peña. Laboratoire Gabrielle Skupch

PROTHESE HYBRIDE FIXE TRANSVISÉE SUR 6 IMPLANTS

Prothese hybride fixe transvisée superieur et inferieur sur 6 implants chacune. Chirurgien: Dr. Thierry Hascoet. Prosthodonte: Dra. Yanira Peña. Laboratoire Gabrielle Skupch

RECONSTRUCTION CERAMO METALLIQUE SUR IMPLANT ET DENTS NATURELLES

Le Dr Hascoet a réalisé sur ce patient une reconstruction ceramo metal superieur et inferieur sur implant dentaire et dents naturelles Cirujano: Dr. Thierry Hascoet. Prostodoncista: Dra. Yanira Peña. Laboratorio Rodos Madrid

POSE DE 3 COURONNES CERAMO METALLIQUES SUR DEUX IMPLANTS DENTAIRES

Pose de 3 couronnes ceramo metalliques sur deux implants dentaires par le chirurgien dentiste français T. HASCOET à Oral clinic, Espagne. Chirurgien: Dr. Thierry Hascoet. Prosthodonte: Dra. Yanira Peña. Laboratoire Rodos Madrid

RECONSTRUCTION COURONNE CERAMIQUE SUR IMPLANT DENTAIRE

Reconstruction couronne céramique sur implant dentaire par le chirurgien dentiste français T. HASCOET à Oral clinic, Espagne. Chirurgien: Dr. Thierry Hascoet. Prosthodonte: Dra. Yanira Peña. Laboratoire Rodos Madrid

PROTHESE HYBRIDE FIXE TRANSVISSÉE SUR IMPLANTS

Prothese hybride fixe transvissée superieure sur 6 implants Chirurgien: Dr. Thierry Hascoet. Prosthodonte: Dra. Yanira Peña. Laboratoire Ruben Escola

DEUX COURONNES CERAMO MÉTALLIQUES SUR 2 IMPLANTS MONOBLOCS

Deux couronnes ceramo metalliques sur 2 implants Monobloc Chirurgien: Dr. Thierry Hascoet. Prosthodonte: Dra. Yanira Peña. Laboratoire Rodos Madrid

COURONNE CERAMO METALLIQUE SUR 1 IMPLANT DENTAIRE

Pose d’une couronne ceramo metallique sur 1 implant Chirurgien: Dr. Thierry Hascoet. Prosthodonte: Dra. Yanira Peña. Laboratoire Gabrielle Skupch Foto avant et après la pose de la couronne dentaire

BRIDGE CERAMIQUE SUR 8 IMPLANTS MONOBLOCS

Reconstitution: Pose d’un bridge ceramique sur 8 implants monobloc Chirurgien: Dr. Thierry Hascoet. Prosthodonte: Dra. Yanira Peña. Laboratoire Rodos Madrid

POSE PROTHÈSE HYBRIDE FIXE TRANSVISSÉE SUR 8 IMPLANTS SUPÉRIEURS

Pose Prothèse hybride fixe transvissée sur 8 implants supérieurs à Oral Clinic Chirurgien: Dr. Thierry Hascoet. Prosthodonte: Dra. Yanira Peña. Laboratoire Ruben Escola Foto avant et après la pose de la prothèse dentaire

RÉHABILITATION MAXILLAIRE SUPÉRIEURE SUR 4 IMPLANTS AVEC STRUCTURE SUR BARRE

Réhabilitation maxillaire supérieure sur 4 implants avec structure sur barre. Chirurgien: Dr. Thierry Hascoet. Prosthodonte: Dra. Yanira Peña. Laboratoire: Rubén Escola. Foto avant et après la pose de la prothèse dentaire sur barre

BRIDGE CERAMIQUE DE 14 DENTS SUR IMPLANTS ET DENTS NATURELLES

Bridge ceramique 14 dents sur implants et dents naturelles. Chirurgien: Dr. Thierry Hascoet. Prosthodonte: Dra. Yanira Peña. Laboratoire Rodos Madrid

PROTHESE HYBRIDE FIXE TRANSVISSEE SUPERIEURE ET INFERIEURE

Prothèse hybride fixe transvissée supérieure et inferieure sur 6 implants chacune Chirurgien: Dr. Thierry Hascoet. Prosthodonte: Dra. Yanira Peña. Laboratoire Gabrielle Skupch

RECONSTRUCTION SUPERIEURE ET INFERIEURE AVEC PROTHESE HYBRIDE FIXE ET VISEE SUR 8 IMPLANTS

Reconstruction supérieure et inférieure avec prothèse hybride fixe et visée sur 8 implants dentaires. Chirurgien: Dr. Thierry Hascoet. Prosthodonte : Dra. Yanira Peña. Laboratoire: Rubén Escola.

RECONSTRUCTION DENTAIRE DE 12 COURONNES CERAMO-METALLIQUES SUR 8 IMPLANTS DENTAIRES

Reconstruction dentaire de 12 couronnes céramo-métalliques sur 8 implants denatires. Chirurgien: Dr. Thierry Hascoet. Prosthodonte: Dra. Yanira Peña. Laboratoire: Rubén Escola.

POSE DE 4 COURONNES DENTAIRES ZIRCONE SUR 4 IMPLANTS ZIRCONE

Pose de 4 couronnes dentaires zircone sur 4 implants zircone Chirurgien: Dr. Thierry Hascoet. Prosthodonte: Dra. Yanira Peña. Laboratoire Rodos Madrid

POSE PROTHESE DENTAIRE HYBRIDE TELESCOPIQUE SUR 8 IMPLANTS

Pose prothèse dentaire hybride télescopique sur 8 implants Chirurgien: Dr. Thierry Hascoet. Prosthodonte : Dra. Yanira Peña Laboratoire Mondental Barcelone

POSE D’UNE COURONNE CERAMO METALLIQUE SUR IMPLANT SUR DENT 24

Pose d’une couronne ceramo métallique sur implant sur dent 24. Première prémolaire supérieure gauche. Chirurgien: Dr. Thierry Hascoet. Prosthodonte: Dra. Yanira Peña. Laboratoire Ruben Escola

REHABILITATION SUPERIEURE ET INFERIEURE AVEC PROTHESE HYBRIDE FIXE

Réhabilitation supérieure et inferieure. Pose de 6 implants avec prothèse hybride fixe dans chaque maxillaire. Chirurgien: Dr. Thierry Hascoet. Prosthodonte : Dra. Yanira Peña Laboratorio: Rubén Escola.

REHABILITATION DENTAIRE SUPERIEURE AVEC STRUCTURE BARRE SUR 6 IMPLANTS

Réhabilitation dentaire supérieure avec structure barre sur 6 implants Cas clinique Chirurgien: Dr. Thierry Hascoet. Prosthodonte : Dra. Yanira Peña Laboratorio: Rubén Escola.

REHABILITATION MAXILLAIRE SUPERIEURE TOTALE

Réhabilitation maxillaire supérieure total. Prothèse et implant dentaire à Oral Clinic Cas clinique: Chirurgien: Dr. Thierry Hascoet. Prostodonciste: Dra. Yanira Peña. Laboratoire: Rubén Escola.

4 COURONNES CERAMO METALLIQUES SUR 3 IMPLANTS MONOBLOCS

4 couronnes ceramo métalliques sur 3 implants monoblocs Cas clinique: Chirurgien: Dr. Thierry Hascoet. Prosthodonte : Dra. Yanira Peña. Laboratoire: Rodos Madrid

3 COURONNES CERAMO METALLIQUES SUR 2 IMPLANTS DENTAIRES

Pose de 3 couronnes ceramo métalliques sur 2 implants dentaires à Oral Clinic Cas clinique: Chirurgien: Dr. Thierry Hascoet. Prosthodonte : Dra. Yanira Peña. Laboratoire: Rodos Madrid