News

REMPLACEMENT D’UNE DENT PAR UN IMPLANT MONOBLOC

REMPLACEMENT D’UNE DENT PAR UN IMPLANT MONOBLOC. Implant et moignon en une seule pièce et couronne scellée.   Chirurgien  Dr. Thierry Hascoet Prosthodonte: Dra. Yanira Peña Laboratoire: SIVP Barcelone

REHABILITATION COMPLETE SUR IMPLANTS ET DENTS NATURELLES

Rehabilitation complete sur implant et dents naturelles. Suivi depuis 2012 Chirurgien: Dr. Thierry Hascoet Prosthodonte: Dra. Yanira Peña

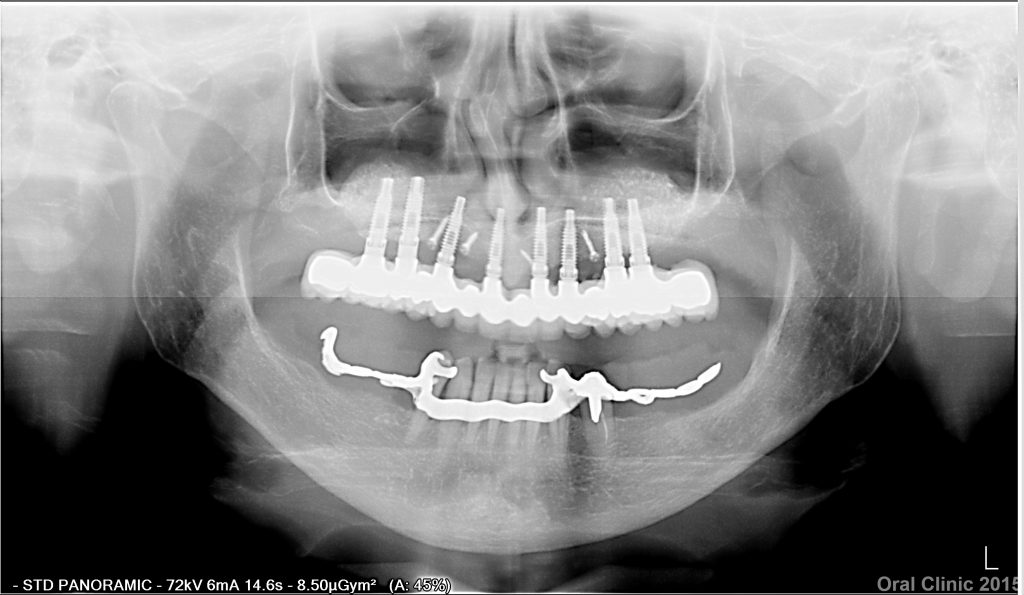
POSE PROTHESE HYBRIDE FIXE TRANSVISEE

Pose d’une prothèse hybride fixe transvissée composite sur 6 implants. Le Docteur Thierry Hascoet vous montre le processus complet d’une pose d’une prothèse hybride fixe transvissée. Il dirige la clinique dentaire de Cunit, (Espagne), Oral Clinic. Plus de 15.000 implants posés.

POSE D’UNE SUPRASTRUCTURE DE 12 DENTS PAR UNE BARRE SUR 4 IMPLANTS DENTAIRES

Réhabilitation par une barre sur 4 implants inferieurs et supérieurs et suprastructure de 12 dents.   Chirurgien: Dr. Thierry Hascoet Prosthodonte: Dra. Yanira Peña Laboratoire: Mondental

POSE PROTHESE HYBRIDE FIXE TRANSVISEE SUR 4 MOIGNONS ET 2 IMPLANTS

Pose d’une prothèse hybride fixe transvissée sur 4 moignons et vissée sur 2 implants postérieurs Chirurgien : Dr. Thierry Hascoet Prosthodonte: Dra. Yanira Peña Laboratoire: Mondental

POSE BRIDGE 12 DENTS SUR 8 IMPLANTS ET ELEVATION DU SINUS

BRIDGE 12 DENTS SUR 8 IMPLANTS Elévation de sinus bilatérale , greffe de bloc osseux antérieur, pose de huit implants et bridge de 12 couronnes ceramo metallique.   Chirurgien: Dr. Thierry Hascoet Prosthodonte: Dra. Yanira Peña Laboratoire: Mondental

REMPLACEMENT D’UNE DENT POUR UN IMPLANT MONOBLOC

Fotos de l’opération d’un patient pour la pose d’un implant dentaire monobloc sur une dent.   Chirurgien: Dr. Thierry Hascoet Prosthodonciste: Dra. Yanira Peña Laboratoire: SIVP Barcelona

POSE 6 IMPLANTS DENTAIRES ET PROTHESE DENTAIRE HYBRIDE

POSE 6 IMPLANTS DENTAIRES ET PROTHESE DENTAIRE HYBRIDE SANS OUVERTURE DE GENCIVE. Reconstruction sur maxillaire atrophié sans apport de greffe.   Chirurgien: Dr. Thierry Hascoet Prosthodonte: Dra. Yanira Peña Laboratoire: Mondental

BRIDGE CERAMIQUE MIXTE DENTS NATURELLES ET IMPLANTS DENTAIRES

BRIDGE CERAMIQUE MIXTE DENTS NATURELLES ET IMPLANTS. CONTROL 3 ANS.   Pose d’un bridge ceramo metallique de 12 dents sur des implants dentaires et des dents naturelles. Au niveau des implants, intégration tissulaire parfaite grâce aux connexions implantaires supra-gingivale.   Chirurgien: Dr. Thierry Hascoet Prosthodonte: Dra. Yanira Peña Laboratoire: SIVP Barcelone

REHABILITATION MAXILLAIRE SUPERIEURE ET POSE BARRE CADCAM

Réhabilitation par une barre CadCam et suprastructure assisté par ordinateur.   Chirurgien: Dr. Thierry Hascoet Prosthodonte: Dra. Yanira Peña Laboratoire: Mondental

POSE PROTHESE HYBRIDE FIXE TRANSVISEE

PROTHESE HYBIRDE FIXE TRANSVISÉE POSÉE SUR 4 MOIGNONS ET VISSÉE SUR DEUX IMPLANTS POSTERIEURS.   Chirurgien: Dr. Thierry Hascoet Prosthodonte: Dra. Yanira Peña Laboratoire: Mondental

POSE D’UNE BARRE SUR 3 IMPLANTS POUR 12 DENTS

Petit reportage qui montre comment le Dr Hascoet d’Oral CLinic a posé une Barre inferieur sur 3 implants et suprastructure 12 dents. Chirurgien: Dr. Thierry Hascoet Prosthodonte: Dra. Yanira Peña

ELEVATION DE SINUS ET POSE DE 3 IMPLANTS DANS UNE MÊME INTERVENTION

ORAL CLINIC CUNIT CHIRURGIEN DR. HASCOET Thierry   Elévation de sinus et pose de 3 implants en même temps.   Radiographie: Pose prévue de 3 implants. Hauteur d’os insuffisante. Photo 1: Accès à la paroi du sinus. Photo 2 : Ouverture de l’accès au sinus grâce au piezotome ( chirurgie par ultrason) Photo 3 : Accès au sinus. Rabattement de la paroi osseuse. Photo 4 : Décollement de la membrane sinusienne. Photo 5: Pose d’une membrane de collagène pour fermer une légère perforation de la membrane du sinus. Photo 6: Pose des 3 implants Photo 7 : Pose des vis de fermeture Photo 8 : Insertion de l’os sous la membrane du sinus. Photo 9: Fin du comblement Photo 10: Pose de la membrane de collagène pour protéger le comblement, Photo 11: Fin de l’intervention. Suture des tissus mous. Photo 12: Résultat 5 mois après . Implant parfaitement osteointegrés

IMPLANTATION IMMEDIATE DEUX MOLAIRES

IMPLANTATION IMMEDIATE APRÈS EXTRACTION DE 2 MOLAIRES INFERIEURES. IMPLANT DIAMETRE 5,6 TRINON (ALLEMAGNE) POSE DE 2 MOIGNONS POUR 2 COURONNES SCÉLLÉES.   Chirurgien: Dr. Thierry Hascoet Prosthodonte: Dra. Yanira Peña Laboratoire: SIVP Barcelone